Having clean teeth is a symbol of confidence. It has been seen time and again that people who are confident of how they smile and look are more confident than others holistically. There used to be times when discolored or difficult to clean teeth were left at its state. The deposition of a tartar layer or plaque is a common problem due to which teeth appear discolored and become a matter of shaming for many. No matter how well one tries to brush them off they stick around. Your teeth are continuously bathed in saliva which is rich in amylase and calcium, which naturally protects your teeth but when there is a deposition of plaque (thin layer over teeth with over thousands types of bacteriain a protein matrix) those natural methods are just not enough. Tartar is the tough or calcified form of plaque and is a very common deposition which affects oral health. If one lets the growth of tartar be unobstructed, the bacteria might soon reach out to the gums and cause infections. Scaling and Polishing of teeth is the way out of this problem. This method cleans the film deposited on the teeth and leaves them clean and clear. This in the medical field is called prophylaxis which in Greek means “To prevent beforehand”, which itself is an indicator of how if not taken care, gum diseases are inevitable.
The use of high tech. advanced machines have made way in the field of dentistry & teeth scaling and polishing which work well without harming the teeth in any manner.
The entire process is painless and is accompanied by occasional tickling sensation. Scaling and Polishing is in fact the most enjoyable thing one can go to a dentist for!
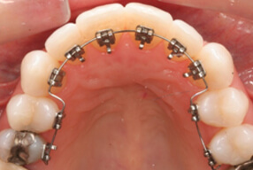
Orthodontic braces come in quite a few types and choosing your best fit is essential.

These are probably the most common orthodontic braces one can see around. Very noticeable but sturdy, these braces have been used and tested successful. With the advent of modern bracket braces and heat activated arch wires, these have become smaller and are less visible than before, but work even better. These are the least expensive types of braces one can get.

Same structure, feel and usage as the traditional braces, but these are tooth colored, making them unnoticeable at a glance. Ceramic braces also provide the added advantage of less resisting jaw mobility.

Similar to Metal and Ceramic braces, the difference is that these are placed on the inside of the teeth rather than the outside making them completely invisible. They are quite expensive and are often difficult to clean.

These are custom made for every patient and are like clean transparent covering for the teeth. You can wear them with ease and there are no food-restrictions while using these.
So yes, Smiles are not permanent and if you have one, which you are shy of, we have the perfect solution at great rates. The smile is the best make up one can wear, and then why not make it perfect. At Punjab Dentistry we realize the concerns of our patients and we assure great, perfectly natural looking results with International standards in check.
No makeup is for eternity and regular checks for them are a must. So what are you waiting for now? Book yourself and appointment today and get rid of any second considerations and deep seated reservations about your smile, because no root is too deep for us to dig. See you soon!
At Rohit Dental Clinic, we lay out a custom plan for you in long term which can help you have a healthy & untreated smile always. Our Dentists are completely equipped with all equipment required to provide completely pain-free treatments for dental problems. They have been trained on most strenuous of environment to give best possible treatment at affordable cost.
In full mouth reconstruction multiple missing teeth are replaced by implants, bridges, removable partial dentures, full dentures.
Removable partial dentures use plastic teeth to replace missing teeth. These plastic teeth are fixed on an acrylic plate and clasps are placed in the plate to take support from adjacent teeth.
Full mouth reconstruction involves various techniques to reconstruct the mouth which may involve aligning of teeth with invasiline, metal braces. Smile correction with veneers, crowns, bonding. Reconstruction of mutilated teeth with tooth colored fillings, inlays, onlays and crowns.

Process comprising of surgically placing the implants directly into your jawbone.As soon as the gum tissues have healed upto a significant level further step of surgery that connects the post to the implant is done. Lastly an artificial tooth(teeth) is attached to the post individually or grouped on a bridge.

The only difference from Endosteal implants is that this process involves placing of a metal frame instead of directly the implants. This frame gradually fuses with the jawbone and then the same process is followed.
The average price of scaling and polishing ranges from around INR500-INR1500/- and depends on where the person gets the process done!
No, in almost all cases there is no need of any X-ray done for the treatment.
Answer- No this process is mostly painless and is moreover enjoyed by many people over the globe. IF any pain is experienced during the process it is imperative for you to ask your dentist/Hygienist to stop and examine properly. Sometimes exposed dentins and sore gums are a reason of any such pain.
You should probably switch your dentist and make use of Nitrous Oxide on teeth for relief from pain during the process.
