For Appointment Call at +91 98723 02529

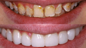
We have certified dentist only with high experience with dental implants and other procedures. We provide treatments that are par excellence.

All the treatments are done with the latest technology which helps the patients to heal quickly and save time & cost.

Many of our patients travel from abroad to get the dental treatments. So we arrange airport pickup & lodging for foreign patients.

We at our clinic accepts all forms of payment like Cash, Demand Drafts, Credit Cards and Debit Cards (Master & Visa).
Along with our passion for the art of dentistry, we have 14 master certifications and over 12000 smiling clients. We strive for complete patient and dental care.
One scan with a PaX-i3D Smart gives you not just a CT image but also an Auto Pano image. This means, patients who require both images do not need to undergo two X-ray scans. Also, CT and Auto Pano images are displayed within the One Viewer feature. (Available on Ez3D-i V4.0)

Primary Specialty: Orthodontics, Surgical Implantologist, Implant Prosthodontics & Endodontists
He is a leading implantologist and dental surgeon in the state of Punjab, India. He is also certified by AAID, Chicago, USA. He is known for his meticulous approach to the patients. He believes in first understanding the patient expectations so that he can deliver a better experience than expected

Primary Specialty: Orthodontics, Surgical Implantologist, Implant Prosthodontics & Endodontists
She has almost same experience as Dr Rohit. She has developed a special affinity to treating dental problems. her approach is always innovative which aims a holistic treatment of the disease not the symptom.When come to treatments like Root Canal Treatment or extractions, she makes the patient feel at comfort


Address:
Rohit Dental Clinic
B 20, 1532-A, New Prem Nagar,
Ludhiana-141001, India
E-mail:
info@punjabdentistry.com
Phone:
+91 98723 02529
How to get there?
