When it comes to having a great smile a white set of teeth is a prerequisite. Apart from making the appearance look good it enhances one’s confidence. We all know that the first look of a person is essential and how it impacts our thinking! White teeth give that confidence to a person where he can be sure of how he looks! Well, it is not a hidden fact that a perfect set of teeth is not what everyone has, but only in one trip to the dentist one can get an easy makeover which will have larger than life effects! Teeth whitening is one of the most affordable and simple things one can do to enhance the look. When you are confident of how you look in a situation, be it a board meeting or client meetup, you are sure to deliver your best and we understand this!
Full mouth reconstruction is indicated when
We know that the teeth is covered by a hard covering called the enamel and on the inside is the dentin. If you have a set of pale teeth it is largely because the enamel is thin and makes way for dentin to be visible from the outside. Teeth whitening involves enhancing the enamel layer to make it appear thicker and thus, making the overall look amazing. Before the treatment begins it is essential to check what caused the paleness per se. For this an entire teeth checkup is done followed by a mouth wash. The treatment is done by two methods in most cases, viz. The Vital whitening and the Non-vital whitening.
Vital Whitening
In this method a gel containing Hydrogen Peroxide is applied onto the teeth, while covering the gums so that they are not harmed, followed by a special light which activates the gel to start the bleaching. A hassle free process, and requires mostly one to two visits for 30-40 min each (depends highly on the patient) to the dentist.
Non-Vital Whitening
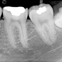
If you have had oral issues before and have gone through a Root Canal Treatment, then Vital whitening will not help as the paleness is because of the visibility of the dentin. For this a basic surgery, where a whitening agent will be put in the teeth and then a temporary filling will be put on it. This process will be repeated as many times, to get the desired look.

These are doen by applying hot and cold to the tooth and pain response is tested. Pulp vitality can be done with a pulp vitality tester also.

x-rays are taken for the affected tooth and seen for any periapical infection

Intraoral palpation and extraoral palpation is done to confirm the diagnosis.
Root canal treatment is one of the least risky treatment with negligible complications. Root canal failure or re-infection can occur after some years of root canal treatment. This happens if filling or crown over the tooth which is root canal treated is not good or root canal filling is not sufficient. Sometimes root canal file can break while doing the procedure. Then we have to either take the broken file out of the tooth or if not possible then we have to bypass the file and continue with root canal.
Root canal treatment brings relief to pain and hot and cold sensitivity to the tooth. You can enjoy your food for many more years to come. The infection in the tooth and bone is healed which brings the end to the agony suffered for so long.
At Rohit Dental Clinic, we lay out a custom plan for you in long term which can help you have a healthy & untreated smile always. Our Dentists are completely equipped with all equipment required to provide completely pain-free treatments for dental problems. They have been trained on most strenuous of environment to give best possible treatment at affordable cost.
One must not panic with this situation thinking that even after taking good care of their teeth they are facing this dental problem because it is a natural phenomenon. You must trust your dentist and should take treatment and medicines recommended by him. It is not a prolonged treatment. The patient takes hardly a week to recover after the surgery if he follows his dentist’s instructions.
Contact your dentist if you have any problem regarding medication. If you face any strange symptom do not be afraid to visit him. Some of the risks & complications involve:
Teeth whitening, like any other cosmetic makeover cannot last for eternity and thus several followups and proper care has to be taken. We highly discourage smoking and drinking due to the staining effects it can have on the teeth. There is no food restriction as such and once the final process is done, you can get into your daily routine without worrying about your teeth.
Ages between 20-75 are the most common patients when it comes to teeth whitening as the enamel is often worn out or is thinner due to age. One can get teeth whitening done at any age and is risk free. In worst case scenarios, one can develop mild gum irritation, which can be treated easily.
The cost of teeth whitening can range from anywhere between Rs. 1000/- to Rs. 10,000/- and depends highly on the patient and the condition of the teeth.
Removable partial dentures use plastic teeth to replace missing teeth. These plastic teeth are fixed on an acrylic plate and clasps are placed in the plate to take support from adjacent teeth.
Full mouth reconstruction involves various techniques to reconstruct the mouth which may involve aligning of teeth with invasiline, metal braces. Smile correction with veneers, crowns, bonding. Reconstruction of mutilated teeth with tooth colored fillings, inlays, onlays and crowns.

Process comprising of surgically placing the implants directly into your jawbone.As soon as the gum tissues have healed upto a significant level further step of surgery that connects the post to the implant is done. Lastly an artificial tooth(teeth) is attached to the post individually or grouped on a bridge.

The only difference from Endosteal implants is that this process involves placing of a metal frame instead of directly the implants. This frame gradually fuses with the jawbone and then the same process is followed.
Teeth whitening in ideal conditions (no smoking-drinking) can last from 6 to up to 12 months. In some cases it can last as little as a month!
It has been seen that no harm is caused to the enamel is any case, or any process during the whitening.
Not at all, teeth whitening has never been seen to harm an individual’s dental nerves.
No, tooth bleaching will not harm the teeth in any manner and are perfectly safe.
No.
