Cavities in children are far more common today than most parents realize. Kids love snacks, sweets, juices, and sticky treats… and unfortunately, these innocent-looking foods are often the biggest reason behind tooth decay. As a parent, you don’t have to remove every “fun food” from your child’s diet, but understanding what causes cavities and what you can replace those foods with can make all the difference.
At Rohit Dental Clinic, parents often ask:
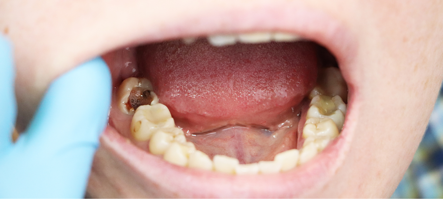
“Why does my child get cavities even though we brush daily?”
The truth is simple: what goes inside the mouth matters more than how many times we brush.
Why Some Foods Cause Cavities Faster
Cavity-causing bacteria love sugary, sticky, and acidic foods. They convert leftover food particles into acids that slowly attack the enamel. Kids’ enamel is softer, which makes cavities grow much faster compared to adults.
Foods Kids Should Avoid (or Limit)
- Sticky Candies & Gummies
Gummies, jelly candies, toffees, and caramel cling to teeth for hours.
Even brushing cannot fully clean them out.
Problem: High sugar + long sticking time = cavity heaven.
Better Choice: Fresh fruits (apple slices, pears, grapes), homemade fruit pops.
- Packaged Juices & Flavoured Drinks
Even “healthy” juices contain hidden sugars and acids.
Problem: They bathe the teeth in sugar with every sip.
Better Choice: Coconut water, plain water, or fresh lemonade without added sugar
- Chocolates That Stick
Soft or caramel-filled chocolates easily get stuck in tiny grooves of kids’ teeth.
Better Choice: Plain dark chocolate in small portions — melts and washes away easily.
- Chips, Namkeen & Fried Snacks
Surprising but true — salty snacks also cause cavities. Chips turn into a paste-like layer on teeth, just like sugar.
Better Choice: Homemade popcorn, roasted makhana, multigrain snacks
- Cookies & Pastries
These treats appear innocent but are packed with processed sugar and glutinous flour.
Better Choice: Oat cookies, laddoos made with jaggery, muffins with multiple grains.
- Frozen Desserts & Creamy Drinks
Cold + sweet + gooey = immediate enamel damage
Better Choice: Frozen yogurt, homemade smoothie with fruits and minimal honey.
Smart Alternatives Kids Will Actually Enjoy
Here are some cavity-safe snack ideas suggested by our child specialist dentist at Rohit Dental Clinic:
- Cheese cubes – neutralize acids
- Peanut butter on whole wheat toast
- Nuts & dry fruits in moderation
- Fresh vegetables like cucumber or carrots
- Eggs, paneer, sprouts for protein-rich snacking
- Homemade fruit smoothies (without added sugar)
These foods clean easier, support tooth strength, and keep the mouth healthier for longer.
Why Choose Rohit Dental Clinic for Your Child’s Dental Care?
At Rohit Dental Clinic, our team understands children — their habits, fears, routines, and dental needs. As a trusted child specialist dentist and leading dentist in Punjab, we focus on:
- Gentle checkups
- Pain-free treatments
- Diet guidance for cavity prevention
- Child-friendly clinic environment
- Long-term dental wellness plans
We believe prevention is easier than treatment — and the right food choices can save your child from future dental troubles.
For expert guidance, visit Rohit Dental Clinic – your trusted dentist in Ludhiana and a leading dentist in Punjab for kids’ dental care.
