A smile can quietly change the way you meet the world. If you hide your smile because of chipped, stained, or uneven teeth, dental veneers might be the gentle, natural-looking fix you’re searching for. At Rohit Dental Clinic – one of the trusted names for a dentist in ludhiana – we help people regain confidence with caring hands and modern dentistry.
What are dental veneers?
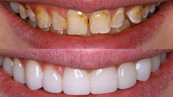
Dental veneers are very thin shells (made of porcelain or composite resin) that are custom-made and bonded to the front of your teeth. They restore color, shape, and alignment so your smile looks natural and bright – like teeth, only better.
Who needs veneers?
Veneers are a good choice if you have:
- Chipped or cracked front teeth
- Permanently stained or discolored teeth that don’t respond to whitening
- Small gaps between teeth or mildly crooked front teeth
- Teeth that look worn down or uneven
If any of these make you hide your smile, a dentist in Ludhiana at Rohit dental clinic can evaluate whether veneers are right for you. Not every dental problem needs veneers – sometimes simpler options (whitening, bonding, or orthodontics) are better. A proper exam helps decide the best path.
Types of veneers — simple breakdown
- Porcelain veneers: Most popular. They look like real enamel, resist stains well, and are made in a dental lab.
- Composite veneers: Built directly on the tooth by the dentist in one visit. Less expensive but may stain and wear sooner.
- No-prep or ultra-thin veneers: Require little or no enamel removal for selected cases.
The procedure – what to expect
- Consultation – Discuss goals, exam, and X-rays. (This helps make sure veneers are safe for you.)
- Preparation – A tiny amount of enamel is usually removed from the front of the tooth so the veneer sits naturally.
- Impression or scan – Your teeth are measured (or scanned) and sent to a lab to craft the veneers. Temporary veneers may be placed if needed.
