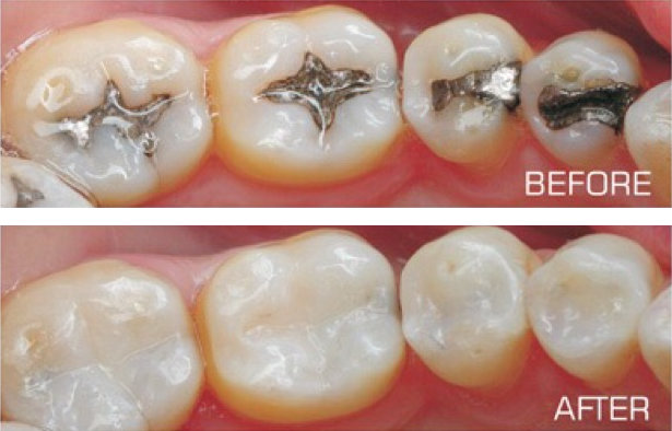
Have you ever chipped a tooth or had a cavity? If so, you know how important it is to fix it quickly and safely. Today, one of the best ways to restore a damaged tooth is with tooth-colored fillings. These fillings are made to match the color of your teeth, so they blend in naturally. Many people now prefer them over old silver fillings because they look better and feel more comfortable.
At our dental clinic in Ludhiana, we offer tooth-coloured fillings for patients of all ages. These fillings are strong, safe, and durable. They bond directly to your tooth and help protect it from further damage. Whether it’s a small cavity or a broken tooth, tooth-coloured fillings in Ludhiana can make your smile look as good as new.
How does the dentist put the tooth-coloured fillings on to the teeth?
Tooth-coloured fillings are bonded chemically on to the teeth. After removal of any decay or any issue of that sort, with the use of a weak primer the tooth is cleaned and made a bit more porous for the resin to seep in and strengthen the structure. Bonding materials are also used at this step to make the teeth get its somewhat natural durability. After applying the Tooth colored composite filling, the dentist then sculpts the form according to how it will suit you the best. To know about the various ways in which teeth are bonded.
Dr. Rohit Gupta has years of experience treating patients with care and precision. His gentle approach and focus on detail have made him known as the best dentist in Ludhiana. Patients trust him for his honest advice, painless treatments, and natural-looking results.
If you’ve been searching for a dentist near me who can help with your dental needs, look no further. At our dental clinic in India, we don’t just fix teeth – we bring back confidence with every smile. From the first visit to the final result, we make sure you feel comfortable and informed.
Tooth-colored fillings are perfect for people who want a clean, natural look. They are safe for your health and don’t stand out like metal fillings. Plus, they can usually be done in just one visit!
What is the average life of tooth-coloured filling?
A composite filling can easily last from a stretch of 2 years to 10 years and depends on the oral hygiene of the person using it.
Don’t wait until the pain gets worse. Whether you need a small filling or want to replace your old metal ones, Dr. Rohit Gupta and his team are here to help. Visit us today and see the natural way to restore your smile by the best dentist in Ludhiana.
